〒471-0877 愛知県豊田市錦町1丁目43番地
名鉄三河線「名鉄上挙母駅」より徒歩8分
愛環線「愛環新上挙母駅」より徒歩13分
とよたおいでんバス「豊田市福祉センター」停留所より徒歩5分

診療時間
9:00~13:00 × ×
14:00~17:00 × ×

休診日:木曜・日曜・祝日

インプラントとは?

インプラント

一般的に「歯」というと、歯磨きをする部分をイメージしますが、実際にはその下に「歯根」と呼ばれる根っこがあります。シッカリと「噛む」ことができるのは、この「歯根」が歯を支えているからです。

インプラント治療とは、失ってしまった歯の歯肉に、人工歯根(=インプラント)を埋め込むことで土台を築き、この上にセラミックなどの人工の歯を装着する治療のことです。「最も合理的に歯を再生できる治療方法」とされています。

インプラントのメリット

入れ歯は歯ぐきに乗っかっている状態ですが、インプラントは強固な根っこを持ちますから、違和感のない丈夫な歯を持てるのです。

「入れ歯」や「ブリッジ」、「差し歯」に代わる新しい治療法が歯科インプラント治療なのです。自然に近い、より美しい歯を取り戻せる点がメリットですが、なによりも嬉しいのは食事もおいしくいただくことができる点でしょう。

インプラント・ブリッジ・入れ歯の比較表

インプラント・ブリッジ・入れ歯それぞれの特徴

インプラント

治療法

失った歯根の代わりに人工の歯根(インプラント)を埋め込み、その上に人工の歯をかぶせる方法

メリット
  • 自分の歯のような感覚で噛む事ができる
  • 周囲の健全歯を傷つける事がない
  • 審美性が良好
  • インプラントがしっかり固定すると、顎骨がやせるのを防ぐことが出来る
デメリット
  • 手術が必要
  • 体質や疾病(重度の糖尿病など)によっては治療できない場合がある
  • インプラントは顎骨に埋めるため、細菌感染には十分な注意が必要。正しい清潔習慣と定期健診を受けて長く維持する事ができる
費用

インプラントは保険適用外

ブリッジ

治療法

歯を失った場所に人工の歯を、両隣の歯を土台にして、人工の歯を支える方法

メリット
  • 補綴物(被せる人工の歯)を選べば審美性は良好
  • 自分の歯と比べ、食感や味覚は、あまり差がない
デメリット
  • 健全な歯を削る必要がある
  • 支えになる歯は負担が大きい
  • 抜けた歯の部分の顎骨が、次第にやせてしまう事がある
  • 食べ物カスがつまりやすく、口の中が不衛生になりやすい
費用
  • 保険適用あり
  • 使用材料により適用外のものあり、数10万かかる

入れ歯

治療法

歯を失った場所の周囲に金属の留め金をつけて固定させる方法
取り外しが可能

メリット
  • 一般的な治療の為、比較的簡単に治療が受けられる
  • 取り外しができる為、自分では歯みがきが困難な方には衛生的
デメリット
  • 形状が合わないと口の中で動きやすく、痛みがともなう事がある
  • バネの架かる歯は負担が大きい
  • 食べ物カスがつまりやすく、口の中が不衛生になりやすい
  • 固い物やお餅等、噛むのに苦労する
  • 発音がしづらくなる事がある
  • 取り外して手入れをする必要がある
費用
  • 保険適用あり
  • 使用材料により適用外のものあり、数10万かかる

当院のインプラントの特徴

AQBインプラント

当院が導入しているAQBインプラントは、骨と結合するための有利な特長を持ったHAインプラントです。治療をおこなった後、噛めるようになるまでの期間がとても短くてすむのです。どの患者さまにとっても、短期間で治療が終わる点は大きなメリットになるでしょう。

HAインプラント

インプラントは、歯槽骨と呼ばれる骨に埋め込まれるので、患者さまの骨の量や骨質によっては、インプラント治療ができませんでした。そこで、骨が痩せてしまっている人に対してもインプラントが施せるよう生まれたのがHAインプラントです。

HAインプラントの大きな特長は、チタンの表面に使われている材料が積極的に骨と結合しようとする素材である点です。

OAMインプラント

通常のインプラント治療では、インプラントを入れたい部分の歯肉を切り開き、その下の顎の骨に歯科用のドリルを使って穴を開け、そこに人工歯根(インプラント)を埋めこみます。

「ドリルを使う手術」ということに対して、恐怖感や抵抗感を持つ患者さまもいます。そこで、ドリルを使わずに骨に穴を開ける方法が、OAMインプラントなのです。

骨を削らないので傷も小さく、痛みもなく、出血もほとんどありません。そのため治りも早く、従来の治療法に比べて通院も短くて済むのです。神経、血管の損傷が起こらないため安全性の面でもメリットがあります。

当院は、このOAMインプラントの認定医となっています。

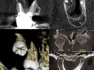
CTを使った安心・安全のインプラント治療

歯を支える顎の骨は、窪みや傾きがあり神経や血管が多く集まっている場所です。とても複雑なので、レントゲンでは骨の影になった神経や血管を確認できないのです。

一方、インプラントや矯正治療では、歯と顎の骨の位置関係、大きさに加えて、神経系や血脈、筋肉や骨の構造を把握しなければなりません。そこで、見えない部分を把握するためのCTが、インプラント治療において欠くことのできない設備となっているのです。

また、治療前だけでなくインプラント施術後の状態もCT撮影をすることで、計画通り行われたインプラント治療を3次元的に確認することができます。

安全性・確実性の面で、CTが患者さまにとって大きな〝安心〟のよりどころになっています。

当院にて導入しておりますCTについてインタビューを受けた時の記事が、日本の歯科医の間で最も評価の高い専門雑誌「ザ・クインテッセンス」に掲載されました。

竹内佐年デンタルオフィスのCTを使ったより詳しい治療技術の記事はこちらから

当院の歯科用CT(GENDEX)について

当院は最先端の歯科用CT「GENDEX」を導入しています。この装置はその品質の高さから世界中の多くの歯科医院で導入されており、数ある歯科用CTの中でも世界トップクラスのシェアを誇る装置です。

従来のレントゲンとの違い~立体で把握~

従来のレントゲンでは2次元の平面画像しか得られません。

一方、歯科用CTを用いると3次元の立体画像が得られるので、平面画像ではわからなかった歯やあごの骨の詳細な立体構造や神経の位置などを精度高く把握することができ、より適切な診断・治療が可能になります。

他の歯科用CTとの違い~骨質を把握~

他の歯科用CTは歯やあごの骨を立体的に把握することはできるものの、骨質(硬さ)について正確に把握することはできません。

一方で、当院の歯科用CTは骨質(硬さ)を正確に計測できるため、骨質(硬さ)を事前に把握しておくことが重要であるインプラント治療に特に有効です。当院の歯科用CTは数ある歯科用CTの中でも特に優れた性能を持つ装置です。

硬いあごの骨

軟らかいあごの骨

インプラント治療がより安全・確実に

インプラント治療はあごの骨の中にインプラントを埋める治療で、あごの骨がどういう形態になっているか?神経はどの位置にあるか?隣り合う歯との関係性はどうか?などを把握するために立体的に診ることが欠かせません。

そういった立体的な把握に加え、骨質(硬さ)もわかる当院の歯科用CTは他のどの歯科用CTよりもインプラント治療に最適であるといえます。

さらに安全なインプラント治療の実現
~インプラント手術システム「Landmark System」との連携~

当院では歯科用CTに加え、日本トップシェアであるアイキャット社のインプラント手術支援システム「Landmark System」を採用しています。

診断・治療計画

撮影したCTデータをインプラントシミュレーションソフト「LANDmarker」に取り込み、患者さま毎のあごの骨の硬さや形、神経の位置などをより詳細に確認しながら、診断することが可能です。

手術

手術の際には診断した結果をもとにインプラントを精度高く埋入できるようサポートする手術支援器具「Landmark Guide」を作製します。より安心・安全な手術を実現するとともに手術時間を短縮し、患者さまの負担も軽減します。

その他さまざまな治療もより安全に

当院の歯科用CTは、インプラント治療以外にもさまざまな治療で有効に活用することができます。

  • 歯の根っこの治療
  • 歯周病の治療
  • 親知らずの治療
  • 顎関節症の治療
患者さまに負担の少ない撮影~座ってわずか20秒~

CT撮影というと大掛かりな撮影を想像されるかもしれませんが当院の歯科用CTは座ったまま短時間(長くて20秒程度)で撮影が完了します。もちろん痛みも何もありません。

患者さまに優しい低被ばく

CT撮影には被ばくが伴いますが当院の歯科用CTは(他の歯科用CTに比べても)大幅な低被ばくを実現した装置です。従来のレントゲン撮影とほぼ変わらない低被ばくで安心してご撮影いただけます。

icatのご案内

~より良いインプラント治療をお受けいただくために~

当院では患者さまにより良いインプラント治療をお受けいただくために、最先端のインプラント治療支援システム I-Cat社「Landmark System」を導入しています。

従来のレントゲン撮影では正確に把握することが難しかったあごの骨の詳細な立体構造や神経の位置などを精度高く把握するためにCT撮影を行います。(CT撮影は外部の病院に依頼しています。)撮影したCTデータを専用のシュミレーションソフトで解析し患者さま毎のあごの骨の硬さや形、神経の位置などを詳細に確認しながらインプラントの最適な埋入位置を診断いたします。

診断後はソフトを用いて分かりやすく全体的なインプラントの治療計画をご説明しますので十分にご納得いただいた上で治療を進めていくことが可能です。

精密な診断によって、リスクが軽減され最適な位置にインプラントを埋入でき、天然歯の代わりや義歯の土台としてインプラントが持つ機能が最大限引き出されることが可能になります。

Landmark System とは?

大阪大学歯学部での研究成果を元に設立された株式会社アイキャット(iCAT)が開発した、診断から手術までをトータルにサポートする、最先端のインプラント支援システムです。

「このiCATご案内ページは株式会社アイキャットホームページおよび患者さまご案内用リーフレットから引用しました。」

インプラントQ&A

インプラントの素材はなんですか?

インプラントは、体との親和性が高く非常に安定した素材であるチタンでできており、骨とのなじみをさらによくするために表面処理が施されています。チタンは人工関節など、さまざまな分野で使用され、生体親和性の高い素材として世界で認められています。

インプラントはいつから噛めるようになりますか?

インプラントで噛めるようになるには、インプラントと埋入する場所、顎骨の状態、手術の経過によっても異なってきますが、手術後2ヶ月を目安にしています。

どのくらい持つのでしょうか?

正しいブラッシングと定期健診をしっかり受けることによって、当院では20年以上良好に維持されている患者さまもたくさんいます。正しい手入れがインプラントを長持ちさせることにつながります。治療終了後の3~4ヶ月毎のメンテナンスクリーニングとチェックが大変重要になります。

費用はどのくらいかかるのででしょうか?

費用は、手術代・インプラント代・インプラントに被せる人工歯代の合計です。治療する本数や場所により費用は異なってきますが、通常は1本35万円です。骨の少ない部位に手術する場合には、骨を拡げたり、人工骨を使用したりする場合があります、この場合には1本につき5万円の費用が別にかかります。治療計画と費用、支払方法についてはご相談してください。

※インプラント治療は健康保険が使えませんが、医療費控除の対象になります。

インプラント治療は痛いのでしょうか?

麻酔を行いますので、痛みに耐えながら治療を行うことはありませんが、通常のインプラント手術であれば手術後、麻酔が切れても、抜歯程度の痛みしかありません。

治療ができる年齢などの制限はあるのでしょうか?

年齢性別の制限はありません。85歳の高齢者がインプラント治療を受けて、自然に噛めるようになった例もあります。

このQ&Aはあくまでも一般的な場合を想定しております。患者さまの状態によって異なってきます。詳しくは、ご相談ください。

治療名:インプラント治療
治療の説明:失われた歯のあごの骨にチタン製の人工歯根を埋め込み、その上に人工の歯(かぶせもの)をつける治療法です。
治療のリスクや副作用:手術後に、痛みや腫れ、出血、合併症などを引き起こす可能性があります。噛む感覚がご自身の歯と異なる場合があります。見た目がご自身の歯と異なる場合があります。手術後にメインテナンスを継続しないと、インプラントが抜け落ちる可能性があります。
治療の価格:350,000円

検診・歯石取り・歯のクリーニング・フッ素塗布も予約可能です

0565-35-7088

診療時間

 
午前 × ×
午後 × ×

午前:9:00~13:00
午後:14:00~17:00
休診日:木曜・日曜・祝日

0565-35-7088

〒471-0877
愛知県豊田市錦町1丁目43番地
・名鉄三河線「名鉄上挙母駅」より徒歩8分
・愛環線「愛環新上挙母駅」より徒歩13分
・とよたおいでんバス「豊田市福祉センター」停留所より徒歩5分

竹内佐年デンタルオフィスでは一緒に働いてくださる仲間を募集中です!